28.01.2021

Da sind sie nun...

...die ersten Bilder unserer kleinen Q-chen!
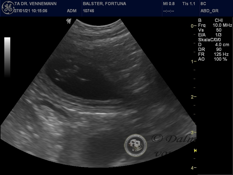
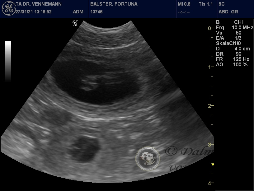
Der Ultraschall beim Tierarzt unseres Vertrauens hat uns Einblick in Selmas Bäuchlein gegeben. Deutlich sichtbar waren die schlagenden Herzchen der Winzlinge zu erkennen - immer wieder ein wunderbarer Anblick!



Selma gehts gut. Wir werden uns weiter in Geduld üben...

p.s.: derzeit sind alle Welpen versprochen

23.12.2020

Update Dezember 2020

Wir warten! Wir warten darauf, dass sich unsere Selma ins Hormon-Chaos stürzt! Die Joycie-Omi hat es vorgemacht - und ganz oft wirkt es irgendwie "ansteckend" bei den anderen Mädels.
Der Plan steht noch immer und die Sache mit der Geduld, ich glaube ich erwähnte es schon mal...
Vielleicht hift es ja, wenn nun die Tage wieder länger werden, wer weiß!

19.07.2022

Update zum nächsten Wurf

Und mach nur einen Plan und sei ein großes Licht...
So kommt es irgendwie immer anders als gedacht: da Selma ja über einen längeren Zeitraum Probleme mit dem Magen gehabt hat - die aber zum Glück nach ihrem Umzug zu Markus und Petra ganz schnell vergangen sind - haben wir im Frühjahr von unserem R-Wurf leider nur träumen können. Nun, da Selma wieder fit und munter ist, soll sie in der nächsten Läufigkeit gedeckt werden. Der Plan steht (immer noch!) so wie wir ihn uns erdacht haben. Nun warten wir auf Selmas Hormone - und hoffen, dass wir im Winter unsere R-chen begrüßen dürfen.
Die Q-Edition erfreut sich bester Gesundheit und macht ihren Zweibeinern viel Freude!

19.05.2021

Abholbilder...

...der Zeitpunkt, an dem uns immer ein wenig der Atem stockt! Einerseits freuen wir uns, dass wir die weltbesten neuen Hundeeltern für unsere Krümmelchen gefunden haben. Andererseits sind wir natürlich immer ein bisschen wehmütig bei dem Gedanken, dass die kleinen Wesen, für deren Entstehen und Wohlergehen wir 9 Wochen vor und 8 Wochen nach der Geburt verantwortlich waren, nun in die weite Welt ziehen dürfen. Wie immer haben wir versucht, den Zwergen so  viel an Gesundheit und Charakter, an Liebe und Fürsorge mitzugeben, wie es nur möglich ist.



Zuerst ist Queequeg ausgezogen. Als "Jarle" lebt er nun in Greven - vermittelt über die Zweibeiner von Giulio von Buldern


Als zweite ist Quivive ausgewandert. In Hannover ist sie nun Junior-Partnerin von Aluna vom Gut Nordholz, einer Tochter von Charly Brown von Buldern, und soll auf den Namen "Hope" hören.


Quechua lebt nun in Fürstenau und wird "Lotta" gerufen.



Quichotte hat es nach Schloß Holte Stukenbrock gezogen. Unter dem Namen "Skippy" bereichert er nun das Leben seiner neuen Familie. In Schloß Holte Stukenbrock ist unsere Harley-D. vom Teutoburger Wald geboren, damals in 2001 ;-)


Und ganz zum Schluß ist Quiche nach Recklinghausen gezogen. Dort erlebt sie als "Mila" neue Abenteuer in einer lieben Familie. Wenn es klappen sollte, darf sie möglicherweise später mal ihre Gene weitergeben - aber bis dahin dauert es noch...

Nun, ihr lieben weltbesten neuen Hundeeltern, nun seid ihr dran! Fördert sie, fordert sie, liebt sie! Und wenn es mal Probleme geben sollte, dann sind wir immer bestrebt, euch zu helfen.
Da der "Welt-Welpen-Abholtag" nun schon ein paar Tage her ist, und wir natürlich auch schon Fotos aus dem neuen Zuhause bekommen haben, sind wir sicher "das wird schon"!!!

Und wie geht es weiter?
Der Plan für den R-Wurf steht! Angedacht ist, dass Selma in der übernächsten Läufigkeit ein weiteres Mal gedeckt werden soll. Das wäre dann - so ungefähr - im Frühsommer 2022. Wir werden sehen...

18.01.2021

Sie haben es getan!

Nachdem ich den letzten Eintrag auf dieser Seite verfasst hatte, ging es eigentlich rasend schnell: am nächsten Tag, am 24.12. 
-  Heiligabend -
haben wir die ersten Anzeichen für Selmas Läufigkeit gefunden. Und am 04.01.2021 hatten Selma und Cooper ihr Date. Zum Spielen und Toben haben sie eine große Wiese genutzt, für das eigentlich "Wichtige" an diesem Tag stand dann doch das warme Wohnzimmer zur Verfügung.
Ich schaue mir unsere Selma natürlich immer und immer wieder prüfend an - und stelle immer wieder fest, dass sie gaaanz bestimmt schon ziemlich schwanger schaut - genau werden wir es aber doch erst Ende Januar erfahren, wenn der Doc unseres Vertrauens mittels Ultraschall einen Blick in Selmas Bäuchlein werfen wird.
Die Verpaarung mit Cooper war für uns so ein bisschen eine Herzensangelegenheit: Cooper ist bei uns geboren, er ist ein Sohn unserer weltbesten Sissi-Maus. Sein Papa Quba ist ein "Teuti", dessen Oma "Heaven`s Hope vom Teutoburger Wald" die Schwester unserer unvergessenen "Harley-D. vom Teutoburger Wald" war. Eine große Zahl der Vorfahren unseres Q-Wurfs durfte ich selbst kennenlernen, viele von ihnen sind bei guter Gesundheit recht alt geworden. 
Nun können wir nur hoffen, dass viele der guten Eigenschaften der Ahnen sich demnächst bei unserer Q-Edition wiederfinden werden. Derzeit kommen so viele Welpenanfragen bei uns an, dass es schon schwer wird, allen zu antworten. Unsere Liste von netten Bewerbern um einen Zwerg aus unserer Q-Edition ist schon lang. Es ist jetzt schon unwahrscheinlich, dass alle netten Interessenten einen "Bulderner" bekommen können.
Nicht vergessen: ein Hundeleben dauert länger, als der Lock-Down ;-)
Und noch etwas: Menschen, die einen Alu-Hut tragen, solche, die sich den Höckes und Gaulands dieser Welt verbunden fühlen, melden sich bitte NICHT bei uns.

Seite 1 von 2